
Kod Amerikanca koji se žalio na česte migrene otkriveno je da ima jajašca (larve) pantljičare u mozgu, nakon što je pojeo zaraženu slaninu.
Ovaj 52-godišnjak je otišao kod lekara jer su mu se uobičajene migrene pogoršale, a lekovi koje je do tada pio nisu pomagali.
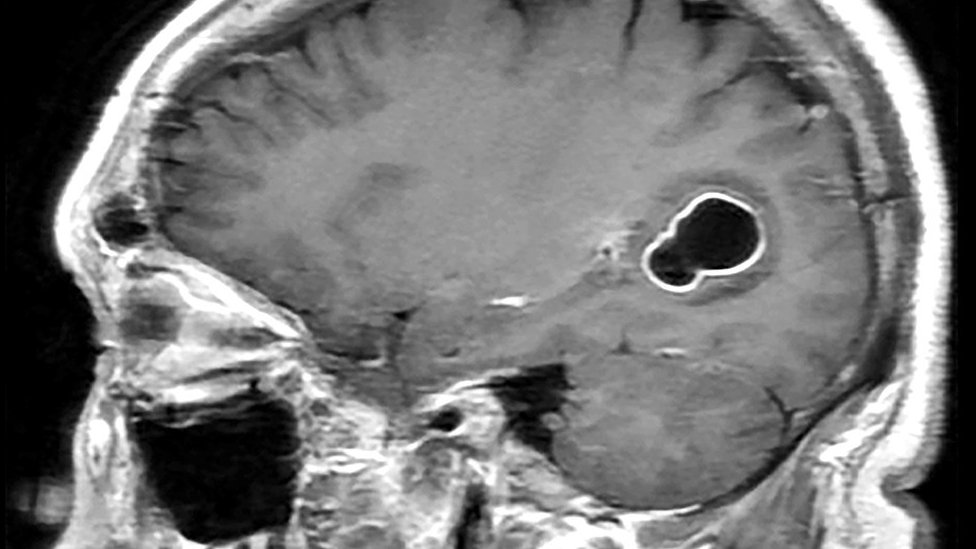
Skeniranjem glave otkrivene su larve pantljičare u njegovom mozgu koje izazivaju cisticerkozu.
Pantljičare ili trakavice su klasa pljosnatih crva koja vode isključivo endoparazitski način života.
- Lekari u šoku: Živi crv prvi put pronađen u ljudskom mozgu
- Šta se desi kada progutaš mobilni telefon
- Kako zaraza trihinelozom vreba iz svinjskog mesa
Odrasle jedinke žive u crevu čoveka i izazivaju teška oboljenja.
Lekari veruju da je pantljičaru dobio od konzumiranja nedovoljno pečene slanine, što je dovelo do zaražavanja.
Cisticerkoza je vrsta infekcije koju izazivaju larve parazita Taenija solijum, poznatog i kao svinjska trakavica (pantljičara), koja može dovesti do razvoja cista (cisticerka) u mozgu.
Neko ko ima pantljičaru može se zaraziti njenim jajašcima i to se naziva procesom autoinfekcije, koji može proći iz tela kao otpad i zaraziti druge koji žive u istom domu.
Konzumacija nedovoljno kuvane svinjetine ne može direktno izazvati cisticerkozu.
Istražujući ovaj slučaj, doktori su u Amerikan žurnalu napisali da se može samo nagađati kako se cisticerkoza prenela autoinfekcijom i da je do toga došlo možda zbog loše higijene ruku.
S obzirom na njegovu naviku da jede nedovoljno pečenu svinjetinu, doktori su pretpostavili da se zarazio zbog „navika u ishrani“.
Pacijent je reagovao na antiparazitske i antiinflamatorne lekove i brzo se oporavio.
‘Loša higijena’
Prema Američkom centru za kontrolu i prevenciju bolesti, larve pantljičare dolaze do mišića i mozga i formiraju ciste.
Kada se ciste pronađu u mozgu, stanje se naziva neurocisticerkoza.
„Ljudi dobijaju cisticerkozu kada progutaju jajašca koja se izlučuju izmetom čoveka sa pantljičarom“, navode u izveštaju iz Centra.
Jaja pantljičare se šire „kroz hranu, vodu ili površine kontaminirane fekalijama“.
„Ljudi gutaju jajašca kada jedu kontaminiranu hranu ili stavljaju kontaminirane prste u usta“, navodi se u izveštaju.
Dodaje se da neko sa pantljičarom može da zarazi sebe (autoinfekcija) i druge koji žive s njim u domaćinstvu.
Stručnjaci kažu da konzumacija nedovoljno kuvane svinjetine ne može izazvati cisticerkozu – niti je to stanje uobičajeno u Americi ili Velikoj Britaniji, gde se svinjsko meso podvrgava rigoroznom testiranju.
Najveće stope ovog stanja beleže se u pojedinim delovima Latinske Amerike, Azije i Afrike, a najčešće u ruralnim oblastima gde je svinjama, prenosiocima svinjske pantljičare, dozvoljeno da slobodno lutaju, a higijena i bezbednost hrane su na niskom nivou.
Ljudi su najviše izloženi riziku od takvih infekcija zbog nedovoljne higijene ruku ili uzimanja kontaminirane hrane ili vode.
„Veoma je retko da pacijenti obole od neurocisticerkoze van klasičnog izlaganja ili putovanja, a smatralo se da takvi slučajevi u Sjedinjenim Državama ne postoje“, navodi se u izveštaju.
Kažu da slučaj naglašava rizik od nedovoljno kuvane svinjetine i naknadne autoinfekcije.
„Istorijski je veoma neobično naići na zaraženu svinjetinu u Sjedinjenim Državama“, zaključuje se u izveštaju.
Pogledajte video: Živi crv prvi put izvađen iz ljudskog mozga
Pratite nas na Fejsbuku, Tviteru i Vajberu. Ako imate predlog teme za nas, javite se na [email protected]
Pratite nas na našoj Facebook i Instagram stranici, ali i na X nalogu. Pretplatite se na PDF izdanje lista Danas.




