Foto: Pixabay PX41-MEDIADaunov sindrom jedan je od najčešćih hromozomskih poremećaja kod ljudi. Može se javiti u svakoj porodici, rasi ili socijalnoj grupaciji, a osobe koje imaju Daunov sindrom na 21. paru hromozoma umesto dva, imaju tri hromozoma.
Ova genetička neravnoteža osnovni je razlog ozbiljnih problema i odstupanja u fizičkom i mentalnom razvoju tih osoba.
Procenjuje se da se u opštoj populaciji na 700 živorođene dece rodi jedno koje ima Daunov sindrom. Prema podacima američkog Centra za prevenciju i kontrolu bolesti (CDC) svake godine u Sjedinjenim Američkim Državama se rodi 6.000 beba, kod kojih se dijagnostikuje Daunov sindrom.
Osobama sa Daunovim sindromom zajedničko je to što su izuzetno empatične, srdačne, tople i nasmejane, i retko se dešava da, ako ste sa njima u kontaktu, prvi šok ne kompenzuje osmeh.
Položaj osoba sa Daunovim sindromom u Srbiji: Neki i dalje nevidljivi
U Srbiji nema precizne evidencije o broju osoba koje imaju Daunov sindrom, ali se procenjuje da ih je oko 3.500 (odrasli i deca). I dalje su roditelji prva karika u njihovom razvoju i glavna podrška, dok sistemska podrška izostaje.
U našoj zemlji osobe sa Daunovim sindromom obično žive u svojim porodicama, dok u razvijenijim zemljama oni žive polusamostalno, rade i doprinose zajednici, i druže se međusobno.
„Postoje mnoge osobe koje su nevidljive u svojoj lokalnoj sredini. Osobe sa Daun sindromom se uglavnom vode kao osobe sa mentalnom retardacijom, ali oni sem mentalnih imaju i zdravstvenih problema koji treba da se prate. Uvođenjem inkluzivnog obrazovanja u školama donekle se popravio položaj osoba sa Daun sindromom, jer se uključuju u obrazovanje po individualnom obrazovnom planu. Ali, nemaju sva deca podršku asistenta i opet je podrška roditelja u prvom planu. Nakon završetka školovanja predviđeno je da se uključuju u dnevne boravke i radne centre, ali njih je malo i uglavnom su puni, tako da deca ostaju izolovana u svojim porodicama“, navodi za Danas.rs Snežana Milivojević iz Saveza udruženja za pomoć osobama sa Daun sindromom.

I kao majka 33-ogodišnje ćerke koja ima Daunov sindrom, Snežana je upoznata sa brojnim problemima sa kojima se roditelji takve dece u Srbiji suočavaju. Najviše ih, kako kaže, brine šta će biti sa njihovom decom kada njih ne bude bilo.
„Sistem nije prepoznao Daunov sindrom kao posebno obolenje i zato ga različito kategorišu. Pa neka deca imaju osnovnu tuđu negu i pomoć koja se ostvaruje preko Centra za socijalni rad (i većina ide svake druge godine ponovo na komisiju), neka imaju uvećanu, a neka nemaju prava. Daun sindromom je genetski poremećaj – stanje koje ne može da se promeni, samo se sa godinama pogoršava“, ističe Snežana.
Ona dodaje da ih kao roditelje boli što hraniteljske porodice imaju više pomoći od bioloških porodica, što se ogleda u vidu mesečnih primanja, radnog staža za hranitelje, paketa pomoći, udžbenika, odlaska na odmore i slično.
„Čak i uvažavanje u društvu (jer se brinu o osobi sa Daun sindromom) dok se primarne porodice često osećaju krivim što imaju za člana osobu sa Daun sindromom. Primarna porodica teško dolazi do informacija, mnoge porodice (a uglavnom su to samohrani roditelji) ili iz neznanja ili iz revolta odustaju od borbe, ali zaista borbe za neka prava. Najveća briga svih roditelja je šta posle nas“, naglašava naša sagovornica.
Osobe sa Daun sindromom su, kako kaže, navikle na svoju prirodnu sredinu i na ritam obaveza koji imaju svakodnevno.
„Nažalost mnoge takve osobe posle smrti roditelja završavaju u staračkim domovima. Najbolje rešenje za takve osobe je stanovanje uz podršku, što postoji kao vid zaštite,ali se u Beogradu ne primenjuje“, ističe Snežana Milivojević.
Nisu iste potrebe dece i odraslih sa Daunovim sindromom
Razvoj dece sa Daunovim sindromom treba od ranog uzrasta stimulisati, kroz rad sa defektolozima i drugim stručnjacima, kako bi postigli što bolje rezultate u svom psihomotornom razvoju.
Stručnjaci navode da je rana intervencija jako važna jer, šta se uradi do pete godine života, to im u mnogome određuje život.
Roditelji se slažu da je stimulisanje važno, ali ističu i da se radi o prvenstveno jako emotivnim osobama, koje neretko neke prepreke (npr. smrt drage osobe) mogu da poremete i da ih nateraju da se „povuku u sebe“.
Snežana Milivojević navodi da su različite potrebe dece sa Daun sindromom i odraslih sa istom dijagnozom. I dok je mladima potrebna ogromna stimulacija, odraslima treba kontinuirano organizovati provođenje slobodnog vremena, smatra ona.
Prema njenim rečima, u više gradova Srbije postoje udruženja koja okupljaju porodice osoba sa Daun sindromom, koja se snalaze na razne načine kako bi opstali.
„U nekim gradovima pod direktnim finansiranjem od strane grada, u drugima je borba za svaki dinar, svaku aktivnost, prostor, radioničare, material…Postoji puno fantomskih uduženja koji su očigledno veštiji da se izbore za dobijanje sredstava, a smatramo da ne postoji valjana kontrola ko dobija sredstva. Sredstva dobijaju udruženja koja su osnovana par meseci pre raspisivanja konkursa i sl. Naša udruženja vode roditelji entuzijasti, ali im polako nestaje snage, mladih koji bi mogli da preuzmu udruženja skoro i da nema (jer su njihova deca u skolama i trenutno su zbrinuta, problem nastaje kad završe sa školovanjem-tek onda se javljaju). Osobe koje vode udruženja često moraju da ulaze u neprijatne situacije sa donosiocima odluka, nema nadoknade za rad…“, navodi naša sagovornica.
Bolje razumevanje i adekvatna nega osoba sa Daunovim sindromom mogu u velikoj meri poboljšati njihov kvalitet života, smatarju stručnjaci.
Pandemija uskratila redovne kontrole osoba sa Daunovim sindromom
Poznato je da su zdravstvene potrebe osoba sa Daunovim sindromom izraženije, jer imaju propratna oboljenja.
Najčešće su to problemi sa srcem, sa sluhom i vidom, gojaznost, bolesti koštanog sistema, bolesti štitne žlezde, neurološki problem, problem sa kožom, problemi sa zubima, sa varenjem, povišen šecer, imunološki problemi, leukemija, demencija…te su im kontinuirano potrebne kontrole i konsultacije sa lekarima specijalistima.
Međutim, pandemija korona virusa to je mnogima uskratila. S jedne strane mnoge zdravstvene ustanove bile su podređene kovid pacijentima, a sa druge strane i roditelji nastojali su da svoju decu sa Daunovim sindromom zaštite od mogućih kontakata sa infekcijama.
„Pandemija korona virusa je loše delovala na osobe sa Daun sindromom. Roditelji u strahu od virusa su zatvarali decu i slabo su ih izvodili, što je napravilo psihičke smetnje, a i zdravstvene“, naglašava Snežana Milivojević.
Oko 40 odsto dece sa Daunovim sindromom ima urođene srčane mane koje su i najčešći uzrok prerane smrti. Poslednjih godina, hirurške korekcije urođenih srčanih mana kod ove dece vrše se ranije i uspešnije, što je rezultiralo značajnim smanjenjem stope smrtnosti u prve tri godine života.
Takođe, oko 60 odsto ove dece ima probleme sa sluhom, 30-40 odsto dece ima problem sa vidom, 15-20 odsto ima disfunkciju tireoidne žlezde. Deca sa Daunovim sindromom više su sklona razvoju leukemije u prvim godinama života, a u zrelom dobu i Alchajmerove bolesti.
Kako su arheolozi otkrili najstariji poznati slučaj Daunovog sindroma
Daunov sindrom prvi je opisao britanski fizijatar Lengdon Daun 1866. godine na sopstvenom detetu, iako se tada još nije tako zvao, već je kasnije po njemu dobio naziv. Godine 1957. ustanovljeno je da je najčešći uzrok ovog sindroma trisomija, tj. tri umesto dva para hromozoma 21. Čini se da je bolest prisutna kroz celu ljudsku istoriju, iako za to postoji malo pronađenih dokaza.
Bolest je, kako prenosi Nacionalna geografija, potvrđena na kosturu deteta koje je umrlo u srednjevekovnoj Francuskoj pre 1.500 godina. Prema navodima arheologa, način na koji je dete sahranjeno upućuje na to da oboleli od Daunovog sindroma u srednjem veku nisu bili.
Ovaj novi primer dolazi sa nekropole blizu crkve u mestu Šalon sir Saon na istoku Francuske. Nekropola datira iz V i VI veka. Iskopavanjima su otkriveni ostaci 94 osobe, uključujući i kostur deteta s kratkom i širokom lobanjom, spljoštenom bazom i tankim kostima lobanje. Te osobine su česte kod ljudi sa Daunovima sindromom, naveo je Mate Rivola, koji je sa svojim kolegama proučavao kosti na Univerzitetu u Bordou.
S tim navodima se složio i Džon Starbak sa Univerziteta u Indijani. On je objavio rezultate analize u kojoj se bavi 1.500 godina starom toltečkom figurinom, za koju smatra da prikazuje upravo Daunov sindrom.
Tim naučnika sa Univerziteta u Bordou proučavao je način na koji je dete sahranjeno, što do sada nije bilo moguće. Dete je položeno na leđa, orijentisano u smeru istok-zapad, što je identično sa svim ostalim grobovima na nekropoli. Mate Rivola smatra da to pokazuje da dete prilikom sahranjivanja nije bilo tretirano drugačije od ostalih pripadnika društva. To nam ujedno ukazuje da ni za vreme života nije bilo stigmatizovano.
Do sličnih rezultata došli su i naučnici koji su u Izraelu pronašli 1.500 godina staru grobnicu sa osobom patuljastog rasta.
Takođe je utvrđeno da se način sahranjivanja nije razlikovao od ostalih, što je naučnike navelo na zaključak da osoba takođe nije bila stigmatizovana od strane društva. Ipak, Džon Starbak smatra da je teško iz grobnog konteksta izvlačiti zaključke o životu i odnosu društva prema pokojniku.
Šta je Daunov sindrom i usled čega nastaje
Daunov sindrom nastaje na početku trudnoće, iz još uvek nepoznatih razloga, kažu stručnjaci.
Prema rečima genetičarke Milice Filipović Stanković, u razvoju jajne ćelije kod žene, ili spermatozoida kod muškarca, ili nakon njihovog spajanja, dolazi do greške koja menja pravilan broj hromozoma. Dete sa Daunovim sindromom ima jedan dodatni hromozom u svakoj ćeliji tela i upravo taj hromozom „u višku“ remeti genetičku ravnotežu i dovodi do karakterističnih promena u fizičkoj i mentalnoj sferi.
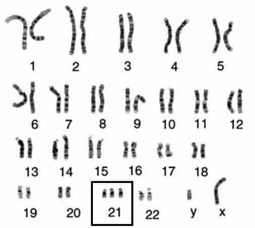
Trizomija 21
Daunov sindrom se još naziva i trizomija 21, zato što pogađa upravo 21. par hromozoma. Trizomija 21 javlja se kada se prilikom začeća spoje jajna ćelija ili spermatozoid, koji poseduju 24 umesto tipična 23 hromozoma.

Bez obzira da li je „falična“ jajna ćelija ili je problem u spermatozoidu, telesna ćelija zametka će imati 47 hromozoma, umesto tipičnih 46.
Koje su karakteristike Daunovog sindroma
Specifične fizičke odlike deteta sa Daunovim sindromom su koso (mongoloidno ) postavljene oči, male ušne školjke, kratak vrat, pljosnat potiljak, ugnuta baza nosa, mala usta, jezik često uvećan, izbrazdan i često viri iz usne duplje, široke šake i kratki prsti, zubi su nepravilnog oblika i broja i kasno izbijaju.

Na dlanovima osoba sa Daunovim sindromom može postojati takozvana brazda četiri prsta, to jest usek linija koja se prostire ispod sva četiri prsta. Osobe sa Daunovim sindromom su nižeg rasta i gojazne su.
„Kod ove dece uočljiva je hipotonija mišića, kao i hiperfleksibilnost zglobova. Važno je napomenuti da pored opisanih i uočljivih fizičkih karakteristika na osnovu kojih se može posumnjati na Daunov sindrom, konačna dijagnoza mora da se zasniva na analizi kariotipa ćelija. Daunov sindrom predstavlja najčešći oblik hromozomskih aberacija koje dovode do intelektualne ometenosti“, navodi se na sajtu Instituta za javno zdravlje Kragujevac.
Tri tipa Daunovog sindroma
Ljudske ćelije sadrže 23 para hromozoma. Jedan hromozom iz para dobijamo od oca, a drugi od majke. Dounov sindrom nastaje zbog viška hromozoma i to na sledeća tri načina:
• Trizomija
U 95 odsto slučajeva Daunov sindrom je uzrokovan trizomijom 21, kada osoba ima tri hromozoma 21, umesto dva, u slučajevima kada polne ćelije oca ili majke sadrži dodatni hromozom.
• Translokacijski Daunov sindrom
Ovaj oblik se javlja u 5 odsto slučajeva. Za decu sa ovim tipom Daunovog sindroma tipično je da imaju dva hromozoma 21, ali osim toga imaju dodatni materijal hromozoma 21 koji je zakačen (translociran) za neki drugi hromozom. Ovaj tip poremećaja je nasledan.
• Mozaični Daunov sindrom
Ovo je redak slučaj Daunovog sindroma u kojem osoba ima samo pojedine ćelije sa dodatnim hromozomom 21, za razliku od prvog tipa ovog poremenćaja gde su ga poseduju sve ćelije u organizmu. Ovaj mozaik normalnih i abnormalnih ćelija se spontano javio u toku samog razvoja embriona.
Za Daunov sindrom važi da u najvećem broju slučajeva nije nasledan, već nastaje kao greška u deobi ćelija tokom ranog razvoja fetusa.
Međutim, translokacijski Daunov sindrom može biti prenet sa roditelja na dete, mada samo 3 do 4 odsto dece sa Daunovim sindromom imaju translokaciju a i u tim slučajevima nisu sve nasleđene od roditelja.
Ako je translokacija nasledna, to znaači da otac ili majka imaju translokaciju odnosno imaju delove hromozoma 21 raspoređene po drugim hromozomima, ali ne poseduju višak genetskog materijala. To znači, kako navode stručnjaci, da se kod njih ne ispoljavaju znaci Daunovog sindroma, ali da ga mogu preneti na svoje dete kod koga se može identifikovati poremećaj.
Kako izgledaju bebe sa Daunovim sindromom
Stručnjaci ističu da su se sve fizičke promene kod beba sa Daunovim sindromom desile već pre rođenja, u ranom razvoju tkiva i organa. Ova deca prepoznatljiva su već pri rođenju. Imaju višak kože na vratu, kose oči, slab tonus mišića…Bebe i deca mlađeg uzrasta sa Daunovim sindromom su više slična nego različita. Kako rastu tako se primećuju različitosti u karakteru, veštinama učenja, inteligenciji, stavu.
Koliko žive osobe sa Daunovim sindromom
Do pre samo pola veka, ljudi sa Daunovim sindromom su u proseku živeli 15 godina, ali danas se njihov životni vek značajno povećao. Očekuje se da žive više od 60 godina, osim ako nemaju velikih zdravstvenih problema.
Daunov sindrom 2015. godine bio je prisutan kod 5,4 miliona osoba na svetu i rezultirao je u 27.000 smrtnih slučajeva, što je smanjenje sa 43.000 preminulih koliko je bilo 1990. godine.
Američki koledž akušera i ginekologa preporučuje da se svim trudnicama, bez obzira na godine, ponudi mogućnost skrining testova i dijagnostičkih testova za Daunov sindrom, navodi Klinika Majo.
Da li se Daunov sindrom vidi na ultrazvuku?
Rizik da će plod imati Daunov sindrom veći je kod žena starijih od 40 godina, ali je praksa pokazala da se 80 odsto dece sa Daunovim sindromom rodi u populaciji trudnica mlađih od 35 godina, smatraju stručnjaci.
„Svaka žena ima rizik da dobije dete sa Daunovim sindromom. U najvećem procentu slučajeva Daunov sindrom je slučajan događaj. Jedino ako je jedan od roditelja identifikovan kao nosilac Robertsonove translokacije koja uključuje 21. hromozom (što se javlja u 3-4 odsto slučajeva) Daunov sindrom je nasleđen poremećaj. U porodicama u kojima je bilo dece sa Daunovim sindromom, verovatnoća ponovnog javljanja je 1:100. Neophodno je znati da nikakav stresni događaj tokom trudnoće ne može prouzrokovati pojavu Daunovog sindroma“, navodi genetičarka Milica Filipović Stanković.
Za otkrivanje Daunovog sindroma u trudnoći koriste se testovi koji ukazuju na rizik. Tu su i dijagnostičke metode koje jasno pokazuju da li plod ima sindrom ili ne.

„U periodu između 12. i 14. nedelje trudnoće, obavlja se detaljan ultrazvuk i mere se određeni parametri – nosna kost, vratna brazda, sonoembriologija – morfološke karakteristike ploda i svi potrebni ultrazvučni markeri koji mogu ukazati na to da li postoje hromozomske ili urođene anomalije ploda. Nakon ultrazvučnog pregleda, u laboratoriji se obavlja dabl-test, koji predstavlja biohemijski skrining za Daunov sindrom. Nekada se trudnice šalju i na tripl-test u 16. nedelji trudnoće, nakon čega može uslediti ispitivanje genetike iz plodove vode, odnosno amniocenteza. Amniocenteza se preporučuje i mlađim trudnicama ukoliko je, recimo, žena već imala dete sa nekom anomalijom ili bliski srodnici imaju dete koje ima genetske poremećaje“, objašnjavaju na sajtu GAK „Narodni front“.
Prema najnovijim analizama rizik od gubitka trudnoće posle amniocenteze iznosi 0,3 odsto. Ginekolozi smatraju da dabl test u 90 odsto slučajeva može uputiti na verovatnoću da postoji Daunov sindrom.
Takozvani „ekspertski ultrazvuk“ se obavlja u periodu između 22. i 24. nedelje trudnoće. Tada je beba dovoljno velika i ima dovoljno plodove vode da se mogu videti detalji u vezi s anatomijom i funkcijom većine organa. Tada se rade i sva doplerska merenja. Obavezni su i pregled i merenje ultrazvučne dužine grlića, kompletna laboratorija i pregled urina.
Test opterećenja glukozom preporučuje se između 26. i 28. nedelje, a ultrazvučni pregled ponovo u 32. nedelji trudnoće. Ulaskom u 9. mesec, odnosno od 36. nedelje trebalo bi početi sa CTG pregledima i ponoviti ultrazvučni pregled po preporuci lekara.
Kako navode iz GAK „Narodni front“, poslednjih godina je širom sveta predstavljen i novi neinvazivni prenatalni test, koji je već doveo do značajnih promena u načinu prenatalnog testiranja.
„Neinvazivno prenatalno testiranje predstavlja korak između dosadašnjih skrining metoda i invazivnih dijagnostičkih procedura (amniocenteze, biopsije horionskih čupica, kordocenteze). Ono podrazumeva analizu slobodne fetalne DNK od 10. nedelje trudnoće, iz standardnog uzorka majčine krvi, radi određivanja verovatnoće postojanja hromozomskih anomalija ploda. Iako se još uvek ne tretira kao dijagnostički, ovaj test po svojim karakteristikama i pouzdanosti, značajno prevazilazi sve dosadašnje skrining testove. Imajući u vidu da nije svaka trudnoća ista, preporučuje se da slušate savete svog ginekologa. Uobičajeno je da se u toku trudnoće obavi 5-7 ultrazvučnih pregleda koji ne mogu negativno uticati na plod“, navode iz ovog beogradskog porodilišta.
Inteligencija osoba sa Daunovim sindromom
Prosečni količnik inteligencije mlade odrasle osobe sa Daunovim sindromom je 50, što je ekvivalentno sa mentalnom sposobnošću deteta od osam ili devet godina, mada to može da varira u širokom opsegu, navode stručnjaci.
Razvoj mentalnih sposobnosti kod dece sa Daunovim sindromom značajno je usporen, što je u skladu sa sporim razvojem mozga. Ograničeni potencijali najviše su uočljivi u sferi sticanja znanja.
„Deca sa Daunovim sindromom imaju problem u razvoju govora, u proseku do treće-četvrte godine sporazumevaju se gestom i mimikom uz retke i kratke reči. Razumljivost govora je dugo narušena. S obzirom da je razvoj govora usko povezan sa razvojem mišljenja, potrebno je mnogo vremena, napora, podsticanja i vežbanja da bi se postigao zadovoljavajući uspeh. Otežano učenje je posledica nedostatka pažnje. Koordinacija pokreta oko-glava-ruka, koja predstavlja osnovu za dosezanje, hvatanje i rukovanje predmetima, značajno je usporena i otežana“, navodi genetičarka Milica Filipović Stanković.

Kod dece sa Daunovim sindromom postoji velika raznolikost u stepenu mentalnog kašnjenja. Prosečna postignuća ove dece (mere na razvojnim skalama i testovima inteligencije) do pete godine života, kreću se od 55-75 IQ jedinica.
Sa godinama ovaj rezultat prvo stagnira, a zatim opada usled činjenice da ona rano dosežu maksimum intelektualnog razvoja.
U tinejdžerskim godinama, zahvaljujući specijalnim školskim programima, mogu da nauče korisne veštine, ali retko složenije aktivnosti koje zahtevaju više preciznosti i zrelog rasuđivanja. Malo osoba sa Daunovim sindromom u zrelim godinama ovlada obavljanjem zadataka i aktivnostima koje zahtevaju potpunu samostalnost i odgovornost.
Prema navodima Instituta za javno zdravlje Kragujevac, ranom intervencijom, koja podrazumeva rad defektologa i drugih stručnjaka, usmerenom na decu do tri godine života, u značajnoj meri može se preventivno uticati na nastanak pridruženih poremećaja i stimulisati psihomotorni razvoj.
„Posebno značajne aktivnosti koje pripadaju procedurama rane intervencije, odnose se na pružanje aktivne podrške celoj porodici u vidu informisanja, savetodavnog rada i praktične obuke. Većina dece sa Daunovim sindromom u periodu ranog detinjstva ređe ostvaruje interakcije sa roditeljima i slabije odgovara na podsticaje, ali istrajnost na njihovom uključivanju u svakodnevne aktivnosti porodice ima izuzetno pozitivne efekte“, navode iz Instituta za javno zdravlje Kragujevac.
Način na koji je dete sa Daunovim sindromom prihvaćeno u porodičnom krugu, pozitivno utiče na razvoj komunikacije, usvajanje dnevnih životnih veština i uspešnije uklapanje u socijalno okruženje. Podrška šire društvene zajednice, neophodna je kako bi se ovakvom detetu omogućilo da socijalne interakcije ostvari i van porodičnog kruga.
Ne postoji lek za Daunov sindrom. Pokazalo se da obrazovanje i pravilna briga poboljšavaju kvalitet života. Neka deca sa Daunovim sindromom se obrazuju u tipičnim školskim časovima, dok druga zahtevaju specijalizovanije obrazovanje. Neki od njih završavaju srednju školu, a nekolicina pohađa i više.
U odraslom dobu, prema nekim podacima, oko 20 odsto u SAD radi plaćeni posao u nekom kapacitetu, dok je mnogima neophodna zaštićena radna sredina.
Njima Daunov sindrom nije bio prepreka za uspeh
Svaka ličnost sa Daunovim sindromom ima jedinstvenu ličnost, sposobnosti i talente.
Kris Berk (Chris Burke) je najpoznatiji po ulozi Korkija, koju je četiri godine igrao u televizijskoj seriji „Život ide dalje“ (Life Goes On) i postao jedna od najomiljenijih ličnosti u Americi.
Kroz svoj rad uspeo je da promeni način na koji ljude sa invaliditetom doživljavaju u Americi. Kris Berk je prva osoba sa Daunovim sindromom koja je glumila u televizijskoj seriji, a koja se prikazivala nedeljno. Na putu ostvarivanja svog sna da postane glumac Kris je imao veru u svoje sposobnosti i hrabrost da se suoči sa predrasudama.
Danas Kris putuje po celoj zemlji i drži inspirativne govore različitim grupama dece, učenika, roditelja i stručnjaka. Pored toga što radi kao glavni urednik NDSS-ovog časopisa za tinejdžere i mlade sa Daunovim sindromom, on piše i kolumnu i odgovara na pisma u redovnoj rubrici časopisa za pitanja čitalaca, navodi u publikaciji Unicefa „Deca koja se razvijaju drugačije“.
Eli Goldstin je mlada manekenka iz istočnog Londona, koja je postala prvi model sa Daunovim sindromom koji se pojavio u časopisu „Vog“. Otkrio ju je Guči bjuti za njihovu kampanju za maskaru. Eli od 2017. radi za Zebedi menadžment agenciju za modele.
View this post on Instagram
„Želim da budem na naslovnicama svih časopisa na svetu!“, reči su ove ambiciozne devojke, koja je veoma aktivna i na društvenim mrežama.
Pre nepune četiri godine jedna glumica je postala prva osoba sa Daunovim sindromom koja je dobila počasnu diplomu univerziteta u Velikoj Britaniji. Reč je o devojci Sari Gordi, koja glumi u seriji Pozovite babicu, a diplomu je dodelio Univerzitet u Notingemu.
Gordi je dobila ovacije za govor pred diplomcima, kada je ispričala kako su joj, dok je bila dete, govorili da će joj život biti ograničen.
„Da sam verovala u sve to što su mi ljudi govorili da ne mogu da uradim, nikada ništa ne bih napravila. Ne slušajte sumnje… verujte u sebe“, rekla je ona tada.
Bišćanka Azra Dedić prvakinja je Evrope u ID džudou. Članica Judo kluba „Una“ zasenila je 2019. godine izuzetnu konkurenciju na Evropskom šampionatu u Kelnu i došla do još jednog životnog podviga.
Dvadesetsedmogodišnji Nikšićanin Stefan Jokić je takođe neko ko ima Daunov sindrom, ali to ga ne sprečava da se bavi sportom. Voli fudbal, košarku, atletiku, stoni tenis, pikado. I ne samo da voli, nego i osvaja medalje – za deset godina, od kako je član Sportskog kluba (SK) „Specijalna olimpijada Nikšić“, Jokić osvojio je 55 medalja. Sve su mu medalje drage, a priznaje da su mu zlatne malo draže.
„Volim da se takmičim. Najviše medalja imam iz atletike – trčim na 100 metara i bacam kuglu. Srećan sam kada vidim da prvi stignem na cilj. Ima dosta dobrih takmičara, ali sve su to moji drugari“, izjavio je Jokić za „Vijesti“ u oktobru prošle godine.
Kris Nikić, momak sa Floride, pre dve godine postao je prvi čovek sa Daunovim sindromom koji je završio zahtevni Ajronman (Ironman) triatlon, preplivavši 3,8 kilometara, vozeći bicikl 180 kilometara i istrčavši maraton od 42 kilometra.
View this post on Instagram
Kris je u zahtevnom takmičenju Ajronmen, što znači „čovek od gvožđa“ došao do cilja za 16 sati, 46 minuta i devet sekundi, a ušao je i u Ginisovu knjigu rekorda.
Kris je na Instagramu stekao 33.000 novih pratilaca, a mnogi ga nazivaju „superzvezdom“ i zahvaljuju mu što nadahnjuje decu sa Daunovim sindromom i njihove roditelje.
Ovih dana objavio je da je ponosan što će dobiti prestižnu sportsku ESPY nagradu.
Školski sastav Dominika koji je obišao region: „Volim svoj Daunov sindrom“
Jedan školski sastav šesnaestogodišnjeg Dominika iz Zagreba krajem prošle godine pročitao je ceo region. Naime dok je pisao sastav na času hrvatskog jezika, Dominik nije ni slutio da će ga, osim profesorke, njegov rad otići i mnogo dalje.

Njegov sastav na temu „Život kao tkivo moje priče“ pružio je uvid u odrastanje drugačije nego kod ostalih učenika iz odeljenja.
„Ja sam se rodio sa jednim hromozomom viška. To znači da imam Daunov sindrom i da sam malo drugačiji od drugih. Puno stvari mi je teže nego ostalima. Moram se više truditi i za neke stvari trebam pomoć“ počeo je Dominik svoju priču. A završio na sledeći način:
„Iako mi je nekad teško, svejedno volim svoj Daunov sindrom. Takav sam se rodio i takav sam ceo život. Imam sreće što imam dobre ljude oko sebe, svoje prijatelje i obitelj, i svoju asistenticu.“
Svetski dan osoba sa Daunovim sindromom 21. mart – Dan različitih čarapa
Svetski dan osoba sa Daunovim sindromom ustanovljen je 2006.godine, a 21. mart simbolično je izabran za taj dan jer je u osnovi te bolesti prisutnost tri hromozoma umesto dva na 21 hromozomskom paru. U svetu se ovaj datum naziva još i „Dan različitih čarapa“, kako bi se skrenula pažnja na različitost koju treba ravnopravno prihvatiti u društvu. Ljude sa Daunovim sindromom zovu još i „deca sunca“.
Pratite nas na našoj Facebook i Instagram stranici, ali i na X nalogu. Pretplatite se na PDF izdanje lista Danas.


