
Jelena Vasić, 39-godišnja frizerka iz Beograda, broji dane do testiranja na trudnoću – pre nekoliko nedelja u Severnoj Makedoniji uradila je inseminaciju, odnosno ubrizgavanja donorske sperme direktno u matericu.
„Odlučila sam se za odlazak na oplodnju pre dve godine. Nije bilo teško doneti odluku, kao što žene verovatno misle, jer su me podržali i porodica i moja ginekološkinja.
„U januaru punim 40 godina i do tada planiram da budem trudna“, kaže Jelena kroz smeh za BBC na srpskom.
Jelena inseminaciju do sada nije mogla da uradi u Srbiji, iako je Zakon o biomedicinski potpomognutoj oplodnji donet je 2017, a dve godine kasnije osnovana je i Banka za reproduktivna tkiva i ćelije na Klinici za ginekologiju i akušerstvo.
Banka je do sada bila prazna, jer nije bilo davaoca reproduktivnih ćelija, ali je predsednik Srbije Aleksandar Vučić najavio da će se od 10. decembra vantelesna oplodnja sprovoditi doniranim reproduktivnim materijalom i u Srbiji, a troškove će snositi država.
Srbija je u septembru ove godine, potpisala ugovor sa bankom reproduktivnih ćelija u Španiji i dogovorila uvoz doniranog reproduktivnog materijala.
Do sada su žene i parovi najčešće išli u Grčku, Severnu Makedoniju ili Češku, kaže Marijana Arizanović iz udruženja Šansa za roditeljstvo za BBC na srpskom.
„Njihova jedina šansa da se ostvare kao roditelji je bila putem vantelesne oplodnje doniranim materijalom u nekoj od država u okruženju.
„Sada će sve to biti mnogo lakše i jednostavnije kada će biti dostupno u našoj zemlji, uz naše lekare, na maternjem jeziku, bez putovanja i dodatnih troškova“, dodaje ona.
Iz Republičkog fonda za zdravstveno osiguranje (RFZO) navode da je plan da se u narednom periodu zaključe ugovori sa svim evropskim bankama koje izvoze reproduktivni materijal, a one se nalaze u Italiji, Španiji, Grčkoj i skandinavskim zemljama.
- Kako je Dragana dobila ćerku posle 18 godina borbe zahvaljujući vantelesnoj oplodnji
- „Plašim se da je moj san da postanem majka srušen“
- Naučnica koja je stvorila život u epruveti
Ko može da se prijavi za procedure oplodnje o trošku države?
Iz Republičkog fonda za zdravstveno osiguranje (RFZO) objašnjavaju za BBC na srpskom da za postupke oplodnje doniranim materijalom mogu da se prijave parovi i žene koje nemaju partnera.
„To pravo će imati žene do 45 godina života: one koje nemaju partnera i dete imaju pravo na vantelesnu oplodnju sa doniranim spermatozoidima, odnosno parovi gde jedan od partnera (bračni ili vanbračni) nema dete i kojima je donacija jajne ćelije ili spermatozoida jedini način da dobiju potomstvo.
„Država će za žene bez partnera, odnosno parove koji ispunjavaju kriterijume, snositi sve troškove – uvoz doniranog reproduktivnog materijala i sam postupak vantelesne oplodnje“, navodi se u pisanom odgovoru iz RFZO-a.
Sanja Radojević Škodrić, direktorka RFZO, prethodno je istakla da će i parovi i pojedinci koji su započeli proceduru u inostranstvu, moći da nastave postupak u Srbiji, a da će troškove prevoza kupljenog doniranog materijala snositi država.
Uvoz materijala i postupak vantelesne oplodnje, dodaje, koštaju oko 7.000 evra, a parovi i pojedinci će imati pravo na šest pokušaja o trošku budžeta.

Kako se prijaviti?
Žene i parovi će moći da se prijave preko aplikacije na e-Upravi.
„I Ministarstvo zdravlja i RFZO su preko te aplikacije uvezani, tako da sami korisnici ništa neće raditi, a preko aplikacije će u svakom momentu moći da vide u kom statusu se nalazi njihov zahtev“, izjavila je Radojević Škodrić.
Dodaje da je čekanje na saglasnost maksimalno pet dana, a da će celokupan uvoz obavljati referentna laboratorija.
„Ono što ostaje korisnicima je da u klinici u kojoj rade vantelesnu oplodnju popune obrazac sa svojim karakteristikama – krvna grupa, visina, težina i moći će sami da biraju kako žele da izgleda taj donor kako bi njihovo buduće potomstvo što više ličilo na njih“, ističe Radojević Škodrić.
Nedavno je Predrag Sazdanović, bivši državni sekretar Ministarstva zdravlja, objasnio da će se parovi kojima je neophodna donacija, javljati u Nacionalnu banku reproduktivnih ćelija, tkiva i embriona, u kojoj će svi biti zavedeni.
„Svi oni će dobiti priliku da biraju jednu od 19 bolnica u Srbiji, u kojoj će pokušati da se ostvare kao roditelji“, rekao je Sazdanović.
BBC na srpskom je zatražio odgovore od Ministarstva zdravlja o preciznijim uslovima prijavljivanja, ali odgovori nisu stigli do objavljivanja teksta.
Kako je u drugim državama:
- U susednoj Hrvatskoj, takođe postoji Zakon o medicinski pomognutoj oplodnji kojim je propisana donacija spermatozoida, jajnih ćelija i embriona, ali ne postoji banka reproduktivnih ćelija. Ipak, parovi o trošku države mogu ići u inostranstvo na oplodnju doniranim reproduktivnim materijalom. U Hrvatskoj država plaća četiri pokušaja vantelesne oplodnje.
- Severna Makedonija sarađuje sa bankama sperme u Španiji i Danskoj. Parovima u Makedoniji koji ne mogu da dobiju decu prirodnim putem, omogućena su tri pokušaja vantelesne oplodnje o trošku države.
- U Crnoj Gori je propisima omogućena oplodnja doniranim materijalom, ali za sada izostaju konkretne procedure i banka reproduktivnih ćelija. Država parovima plaća određen broj pokušaja vantelesne oplodnje pomoću sopstvenih reproduktivnih ćelija u odnosu na to da li već imaju decu ili ne.
- U Bosni i Hercegovini važe različita pravila. U Federaciji BiH će od 1. januara 2023, parovi koji ispunjavaju kriterijume moći da se prijave za pet pokušaja vantelesne oplodnje sopstvenim reproduktivnim ćelijama o trošku države. U Sarajevu već više od 10 godina postoji banka sperme, ali prema pisanju tamošnjih medija, ona nije u funkciji. Fond zdravstvenog osiguranja Republike Srpske od sredine 2018. godine finansira tri pokušaja vantelesne oplodnje sopstvenim reproduktivnim ćelijama. Ni u Federaciji ni u Republici Srpskoj donacija reproduktivnog materijala nije uređena zakonom.
- U Nemačkoj je zabranjeno doniranje jajnih ćelija, ali inseminacija i vantelesna oplodnja spermom iz banki reproduktivnog materijala je dozvoljeno. U zavisnosti od vrste zdravstvenog osiguranja, pojedincima i parovima koji žele da se ostvare kao roditelji pokriveno je između 50 i 100 odsto troškova.
- Švedska dozvoljava doniranje sperme, jajnih ćelija i embriona, a uspostavljene su i banke reproduktivnog materijala. Inseminacija i vantelesna oplodnja, bilo sopstvenim ili doniranim reproduktivnim materijalom, obavlja se o trošku države ukoliko žena bez partnera, odnosno par, ispunjava uslove.
Šta je inseminacija?
Postavljanje sperme direktno u matericu pomoću malog katetera, navodi se na sajtu Univerziteta Džon Hopkins.
Dodaje se da je svrha ove procedure poboljšanje šanse za oplodnju, povećanjem broja zdravih spermatozoida koji dospevaju u jajovode kada je žena u najplodnijoj fazi.
Ističe se da ova metoda pomaže parovima koji ne mogu da ostanu u drugom stanju, istopolnim ženskim parovima koji koriste spermu donora, kao i ženama bez partnera koje žele da dobiju dete pomoću sperme donora.
Inseminacija nije mnogo invazivna i jeftinija je od vantelesne oplodnje, a obavlja se tokom ovulacije.
Jelena Vasić kaže da se procedura inseminacije izgledala kao ginekološki pregled.
„Prvo se sve očisti fiziološkim rastvorom i ubrizga se špric sa spermom, što traje dva minuta.
„Posle ležiš još 10 minuta i možeš da ideš“, objašnjava Jelena.
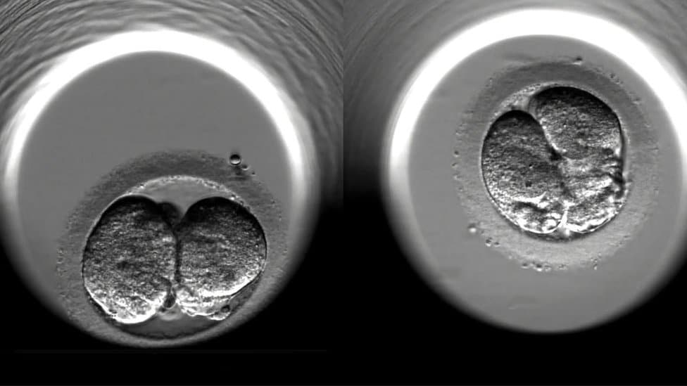
Šta je vantelesna oplodnja?
Vantelesna oplodnja obuhvata sve tehnike i slučajeve kada se spajanje jajne ćelije i spermatozoida izvodi van organizma žene, odnosno u laboratoriji.
Aleksandar Stefanović, direktor Klinike za ginekologiju i akušerstvo u Beogradu, rekao je ranije za BBC na srpskom da postoje dva načina vantelesne oplodnje.
„Tehnika oplođenja in vitro podrazumeva da se pomešaju jajne ćelije i spermatozoidi, potom se oplođenje u laboratoriji vrši spontano – što je klasična metoda vantelesne oplodnje (IVF).
„Takođe, spermatozoid može direktno da se ubrizga u jajnu ćeliju (ISCI metoda)“, navodi.
Da bi došli do ovog koraka, dodaje, lekari moraju da imaju raspoložive muške i ženske polne ćelije u odgovarajućem broju, koje se dobijaju različitim načinima.
„Ako je oplođenje u laboratoriji uspešno, sledi vraćanje embriona u matericu tri ili pet dana nakon oplođenja“, navodi.

Indikacije za potrebu postupka vantelesne oplodnje mogu doći sa ženske ili muške strane, kao i zbog oba partnera.
Stefanović objašnjava da kada kod parova ne može da se ustanovi uzrok neplodnosti i pored svih analiza, kreće period empirijske terapije.
„Ona ide od stimulacije ovulacije i tempiranih odnosa do intrauterinih inseminacija (ubrizgavanje spermatozoida direktno u matericu u vreme ovulacije)“, kaže.
Dodaje da je, posle godinu dana pokušavanja i ispitivanja na ovaj način, poslednja stepenica vantelesna oplodnja klasičnom metodom.
Problemi kod žena:
- zapušeni jajovodi ili operativno uklonjeni;
- endometrioza (prisustvo sluzokože materice izvan šupljine materice);
- ovulatorni problemi;
- odmaklo reproduktivno doba;
- ranije operacije na jajnicima i smanjena ovarijalna rezerva (broj folikula u jajniku);
- ranije operacije na grliću materice;
- dug period infertiliteta (neplodnosti);
- neuspešne višestruke inseminacije (oplodnje);
- opsežne priraslice u maloj karlici nakon ranijih operacija;
- ili nepoznati uzrok.
Problemi kod muškaraca:
- smanjen broj spermatozoida (ispod 20 miliona u mililitru);
- smanjena pokretljivost spermatozoida;
- veliki procenat patoloških oblika, sve do potpunog izostanka pojave spermatozoida u ejakulatu (azospermija);
- poremećaji i nemogućnost ejakulacije.
Direktor Klinike za ginekologiju i akušerstvo (GAK) AleksandarStefanović
Šansa za bebu u inostranstvu
Osim volje i strpljenja, žene i parovi kojima je neophodna pomoć donora da bi dobili bebu, morali su da skupe i mnogo novca.
Tako je i Jelena platila više od 3.000 evra za tri pokušaja inseminacije u Skoplju.
„Samo sperma, koja u Severnu Makedoniju stiže iz Danske, košta 3.000 evra,
„Dodatni pregledi se plaćaju oko 200 evra, a svaka inseminacija se plaća, takođe, po 200 evra“, objašnjava Jelena.
Osim tih troškova, tu su put i prenoćište.
„Iako sam se pre dve godine odlučila na ovaj korak, čekala sam pravi trenutak kad mogu da odem.
„Sa mnom je zdravstveno sve u redu, ali moj partner ne želi decu, te sam se setila da u svetu postoje banke sperme“, navodi.
Dodaje da je tada pronašla kliniku koja joj odgovara, zakazala pregled i otišla kolima u Skoplje.
Bila je spremna da plati dodatnih 2.000 evra za vantelesnu oplodnju, koja daje veće šanse za trudnoću, ukoliko inseminacija ne uspe.
Ali sada navodi da je raduje najava o mogućnosti sprovođenja ove procedure u Srbiji.
„U Srbiji nisam ništa probala da radim zato što sam znala da kod nas banka sperme ne funkcioniše.
„Ako ne ostanem trudna sada, možda mogu kasnije da probam u Srbiji“, kaže ona.
Dok je Jelena istraživala mogućnosti za inseminaciju u okruženju, primetila je da nema mnogo dostupnih informacija „iz prve ruke“.
„Naišla sam samo na jedan jedini tekst žene iz Srbije koja je išla u Skoplje na inseminaciju.
Zato je, kaže, odlučila da započne Jutjub kanal na kom će javno govoriti o njenim iskustvima dok nestrpljivo čeka da sazna da li inseminacija bila uspešna.
Dodaje da je zbog prirode posla kojim se bavi stalno u kontaktu s velikim brojem žena.
„Ima mnogo njih koje su same, u godinama, starije i od mene.
„One prate šta se meni dešava, čekaju da vide kako ću ja proći, pa će možda i one uraditi to“, navodi Jelena.
Kako da zagrlite prevremeno rođenu bebu:
Pratite nas na Fejsbuku,Tviteru i Vajberu. Ako imate predlog teme za nas, javite se na [email protected]
Pratite nas na našoj Facebook i Instagram stranici, ali i na X nalogu. Pretplatite se na PDF izdanje lista Danas.




